矯正歯科・インビザライン
ORTHODONTIC

矯正歯科で美しい笑顔と
健康な体を手に入れる
矯正歯科の治療は、見た目の良さだけでなく、健康に直結する治療です。
具体的には、顎や歯に存在しているズレを改善し、見た目の美しさとバランスの取れたかみ合わせを目的として行います。かみ合わせが改善されれば、前歯で噛み切ったり、奥歯で噛み潰したりする動きがスムーズになることや、肩こりや頭痛の改善に繋がるなど心と身体の両面の健康に役立ちます。
また、ブラッシングもしやすくなることから、歯周病やむし歯のリスクも低くなり、歯を健康なまま長く使うことに繋がります。
「iTero(アイテロ)」による無料シミュレーション実施中!

「矯正によって自分の歯並びはどう変わるの?」
そんな疑問や不安をお持ちの患者さんも多いと思います。そこで当院では、精密機器「iTero(アイテロ)」を使って、無料で歯並びのシミュレーションを行っています。
患者さんの歯型をもとに、歯並びの変化を3Dで確認できるので、治療後のイメージもぐっとつかみやすくなります。
歯並びでお悩みの患者さんは、ぜひお気軽にご相談ください。
マウスピース矯正が注目される理由
矯正と聞いて、まず「ワイヤー矯正」を思い浮かべる方は多いのではないでしょうか。ワイヤー矯正は幅広い症例に対応でき、確かな治療効果が期待できる一方で、装置が目立ちやすく、取り外しができないため食事や歯磨きが不便になるというデメリットがあります。
こうした課題を解決する方法として、近年注目を集めているのが「マウスピース矯正」です。透明で取り外し可能なマウスピースを使用するため、装着していてもほとんど気づかれません。
食事や歯磨きの際には簡単に取り外せるので、食べ物が詰まったり、磨き残しによって虫歯や歯周病のリスクが高まったりする心配も少なく、安心して矯正を続けられます。
当院でも、このマウスピース矯正を導入し、多くの患者さまにご好評いただいております。
世界的シェアを誇る「インビザライン」「シュアスマイル」を採用


マウスピース矯正には複数のブランドがあり、一見どれも同じように見えますが、実際にはブランドごとに精度や耐久性に差があります。選ぶブランドによって、治療効果や快適さが大きく変わってくるため、慎重な判断が必要です。
なかには割れやすかったり、期待どおりの効果が得られなかったりするマウスピースも存在します。費用の安さだけで選んでしまうと、結果的に満足できない治療につながる恐れがあります。
当院では、世界シェアNo.1の「インビザライン」とNo.2の「シュアスマイル」を採用しています。いずれも高い耐久性と優れた性能を誇り、幅広い症例に対応できることで評価されています。安心して治療を受けていただけるよう、質の高いマウスピースのみを使用しています。
フェイスラインを整えて、美しい横顔へ

矯正治療は、歯並びをきれいに整えるだけではありません。実は、横顔のバランスやフェイスラインを改善する効果も期待できます。
「Eライン」という言葉をご存じでしょうか。Eラインとは、鼻先とあご先を結んだラインのことで、この線上、もしくは少し内側に唇が位置している状態が、美しい横顔の基準とされています。
矯正治療によって歯並びやかみ合わせが整うと、口を閉じたときの見た目も自然になり、理想とされるフェイスラインに近づけることができます。
「前歯だけ」や「矯正後の後戻り」にも対応可能です
部分矯正
「前歯のねじれだけ直したい」、「すきっ歯の部分だけ気になる」といった、お悩みの方には、気になる箇所だけを整える「部分矯正」がおすすめです。全体矯正に比べて治療期間が短く済むことが多く、費用も抑えられるため、患者さまの負担を軽減できます。
後戻り矯正
「後戻り」とは、一度矯正した歯が元の位置に戻ってしまうことをいいます。矯正直後の歯は骨に安定していないため動きやすく、リテーナー(保定装置)の装着不足や舌の癖などによって、後戻りが起こることがあります。
マウスピース矯正は、このような後戻りにも有効です。早めに治療を開始すれば、短期間・低コストで改善できるケースもあります。場合によっては、全体矯正ではなく部分矯正で対応可能なこともありますので、気になる方はぜひ一度ご相談ください。
精密機器を活用し、治療精度を追求
CT

矯正治療の精度を高めるためには、正確な診査・診断が欠かせません。当院では、一般的な二次元レントゲンだけでなく、立体的に撮影できる「CT」を導入しています。
矯正治療は単に歯をきれいに並べるだけではなく、嚙み合わせがしっかりと整っているかどうかも重要です。そのため、顎の骨やお顔全体のバランスを踏まえた治療計画を立て、機能性と見た目の両方を考慮した治療を行っています。
クリンチェック

「クリンチェック」は、インビザライン矯正に用いるデジタルシミュレーションソフトです。口腔内スキャナー(iTero)で取得したデータをもとに、歯の動きをシミュレーションしながら治療計画を作成します。
「治療開始」から「完了」までの流れを3D画像で確認できるため、患者さま自身がゴールのイメージを持ちやすいのも大きなメリットです。さらに、このシミュレーションをもとにドクターが微調整を加えることで、より精密な治療が可能となります。
クリンチェックは、治療方針を決定づける非常に重要な工程のひとつです。
治療期間を「短縮」するための工夫
矯正治療は、虫歯治療などと比べると時間がかかる治療です。患者さまにとって「できるだけ早く歯並びを整えたい」と思うのは自然なことです。
当院では、治療期間を短縮するために「インプラントアンカー」や「ディスキング」、「PBMヒーリング」といった方法を取り入れています。
インプラントアンカー

インプラントアンカーとは、矯正専用の小さなネジのことです。顎の骨に一時的に固定して、歯を動かすための支点として利用します。
特に大きく歯を動かす必要がある場合、より強い力を効率的にかけられるため、歯の移動がスムーズになり、治療期間を短縮できる可能性があります。
ディスキング

ディスキングは、歯と歯の間をわずかに削って隙間をつくり、歯が動くためのスペースを確保する方法です。
スペース不足を解消する際、通常は抜歯を行うケースもありますが、ディスキングを用いることで抜歯を避けられる場合があります。患者さまにとって身体的な負担が少なく、効率的に歯並びを整えられるメリットがあります。
PBMヒーリング

PBM Healingは、特殊な光を細胞に照射することでミトコンドリアの働きを活性化し、治癒を促進する方法です。
この作用により、治療期間を短縮できる可能性が高まります。通常であれば2年以上かかるケースでも、治療が大幅に早く終わる見込みがあり、従来の方法に比べて約3分の1の期間で完了できる場合もあります。
PBMは歯科だけでなく、エイジングケアや整形外科など幅広い分野でも活用されている、注目の治療サポート技術です。
当院の矯正歯科の特徴
-
01
精密な検査を行うこと
-
02
iTeroを使用した口腔内スキャン
-
03
PBM Healingで治療期間短縮
-
04
かみ合わせを考慮した治療
インビザラインを使用した豊富な症例

インビザラインはマウスピース型の矯正治療器具として、多くの方々に知られるようになってきました。特徴として透明のマウスピースのため目立ちにくく、ワイヤー矯正歯科より患者さんが周りの方々に気付かれにくい点などがあります。その反面、かみ合わせ知識や矯正歯科を学んできた歯科医師以外でも治療が提供できてしまうことで、患者さんが施術中や施術後に症状を訴えることも多くなっております。
当院の院長なら、かみ合わせの治療実績も多く、見た目だけを考えた矯正治療ではなく、機能面も考慮し施術後にしっかりと噛めて見た目も綺麗な矯正歯科治療をご提供できます。
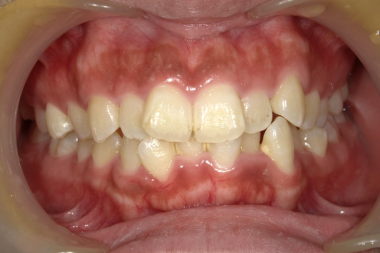
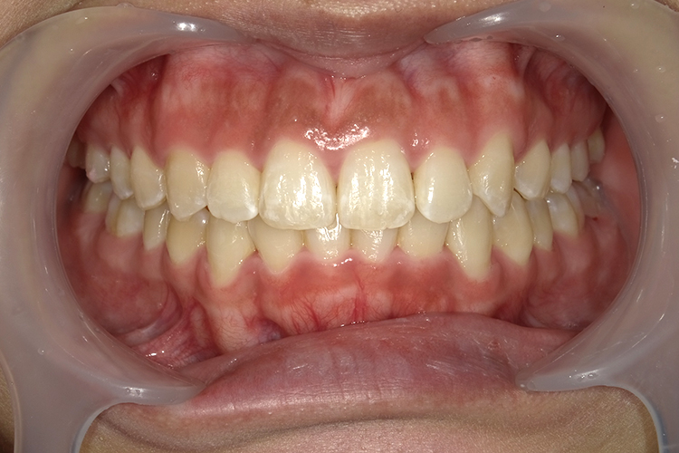
症例①
-

治療前
-

治療後
| 治療内容 | インビザライン、PBMヒーリングを併用 |
|---|---|
| 費用 | 約830,000円 |
| 治療のリスク、副作用 | 矯正装置による不快感、痛み、歯根吸収などがあります。 詳しくは「矯正歯科治療に伴う一般的なリスク・副作用」に掲載 |
| 治療期間 | 7ヶ月 PBMヒーリングの活用により、従来なら1年半のところ「7ヶ月」に短縮 |
| 治療回数 | 18回 |
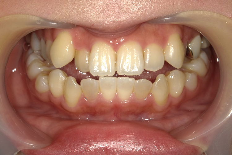
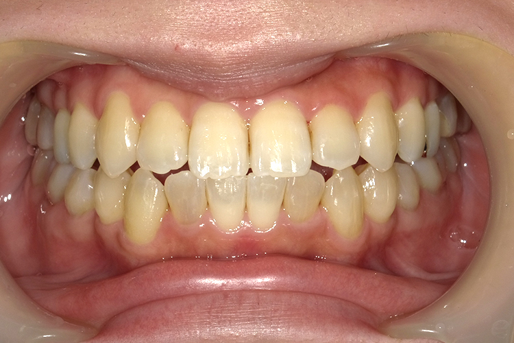
症例②
-

治療前
-

治療後
| 治療内容 | インビザライン、PBMヒーリング、MSE装置を併用 |
|---|---|
| 費用 | 約900,000円 |
| 治療のリスク、副作用 | 矯正装置による不快感、痛み、歯根吸収などがあります。 詳しくは「矯正歯科治療に伴う一般的なリスク・副作用」に掲載 |
| 治療期間 | 1年 PBMヒーリング・MSE装置の活用により、従来なら1年7ヵ月のところ「1年」に短縮 |
| 治療回数 | 20回 |
料金
| 診断料 | 33,000円 |
|---|---|
| インビザライン | 770,000円 |
| PBM光装置 | 66,000円 |
※矯正終了後の保定装置の費用は5,500~33,000円になります。
※抜歯ケース・後方移動ケースの追加費用は33,000~55,000円になります。
※料金は税込の価格です。
矯正歯科治療に伴う一般的なリスク・副作用
- 最初は矯正装置による不快感、痛み等があります。数日間~1、2週間で慣れることが多いです。
- 歯の動き方には個人差があります。そのため、予想された治療期間が延長する可能性があります。
- 装置の使用状況、顎間ゴムの使用状況、定期的な通院等、矯正治療には患者さんの協力が非常に重要であり、それらが治療結果や治療期間に影響します。
- 治療中は、装置が付いているため歯が磨きにくくなります。むし歯や歯周病のリスクが高まりますので、丁寧に磨いたり、定期的なメンテナンスを受けたりする事が重要です。また、歯が動くと隠れていた虫歯が見えるようになることもあります。
- 歯を動かすことにより歯根が吸収して短くなることがあります。また、歯ぐきがやせて下がることがあります。
- ごくまれに歯が骨と癒着していて歯が動かないことがあります。
- ごくまれに歯を動かすことで神経が障害を受けて壊死することがあります。
- 治療途中に金属等のアレルギー症状が出ることがあります。
- 治療中に「顎関節で音が鳴る、あごが痛い、口が開けにくい」などの顎関節症状が出ることがあります。
- 様々な問題により、当初予定した治療計画を変更する可能性があります。
- 歯の形を修正したり、噛み合わせの微調整を行ったりする可能性があります。
- 矯正装置を誤飲する可能性があります。
- 装置を外す時に、エナメル質に微小な亀裂が入る可能性や、かぶせ物(補綴物)の一部が破損する可能性があります。
- 装置が外れた後、保定装置を指示通り使用しないと後戻りが生じる可能性が高くなります。
- 装置が外れた後、現在の噛み合わせにあった状態のかぶせ物(補綴物)やむし歯の治療(修復物)などをやりなおす可能性があります。
- あごの成長発育によりかみ合わせや歯並びが変化する可能性があります。
- 治療後に親知らずが生えて、凸凹が生じる可能性があります。加齢や歯周病等により歯を支えている骨がやせるとかみ合わせや歯並びが変化することがあります。その場合、再治療等が必要になる事があります。
- 矯正歯科治療は、一度始めると元の状態に戻す事は難しくなります。
初診「個別」相談へのご案内
当院では、患者さんが抱えていらっしゃるお口のお悩みや疑問・不安などにお応えする機会を設けております。どんなことでも構いませんので、私達にお話ししていただけたらと思います。オンライン診断も可能ですので、ご興味がある方はお問い合わせください。